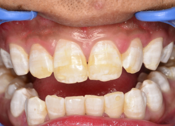
谁都想拥有一口整齐洁白的牙齿!但有些人的牙齿却是斑斑点点的、并且又黑又黄,其实这就是所谓的“氟斑牙”。
氟斑牙是由于饮用含氟量过高的水或者使用过量的含氟牙膏导致的。这是一种在牙齿中慢性氟中毒的表现,若不及时治疗还可能会患氟骨症。

1、轻度氟斑牙
如果是轻度的氟斑牙,影响不大,牙面只有少量的颜色改变,如白垩色或者黄色。除了对美观有些影响,对牙齿健康的影响也很小,
2、中度氟斑牙
中度氟斑牙能明显看到,牙齿颜色改变很多,牙齿表面还会伴有坑坑洼洼的小坑,这样的情况下患龋率更高。

3、重度氟斑牙
重度氟斑牙,牙齿会有严重的颜色改变,牙齿形态也会出现严重的变化,非常难看。并且对口腔健康的影响也较大,比较难治愈。
传言说氟斑牙治不好?刷不白?是真的吗?氟斑牙想要治疗确实是很难的,基本没有办法治好。但是可以通过这几个方式改善,让牙齿没有那么难看!

1、冷光美白
对于轻中度氟斑牙,且牙齿形态没有太大改变的,只需要改善牙齿颜色的情况下,到正规的口腔医院接受冷光美白治疗,可以改善牙齿颜色,达到不错的效果。
当然也要因人而异,有些人的效果比较明显,有些人的效果一般。

2、牙齿贴面或全瓷冠
这个是针对严重的氟斑牙,不仅改善牙齿颜色问题,并且改善牙齿形态问题。牙齿贴面、全瓷冠治疗原理很简单,就是在原本氟斑牙上套上冠、贴面以遮挡颜色和不良的牙齿形态。效果非常好。
但全瓷冠是需要对邻牙大量磨除牙体作基牙,这对邻牙无疑是个不可逆的伤害;而牙齿贴面磨牙较小,但价格昂贵,按颗计算。这需要大家根据自身的牙齿情况、经济条件来选择。
