拍完片问医生:医生,请问拔我这颗智齿得多少钱?
医生看了看答:在我们医院拔的话,大概一千到两千吧!
震惊,这是怎么回事?!
我同事说他上周也拔了智齿,才花了两百??
不(为)公(什)平(么)!

但其实,无论是200元拔颗牙还是2000元拔颗牙,只要看完这篇文章,你心里七七八八对自己拔智齿的费用就有数了。
大家且听我道来。
一、拔牙的费用取决于你智齿拔的难易程度其实,拔智齿的价格,和所在地域、所去医院的不同都有关,但价格基本相差不会特别大。
除此之外,最基本的常识就是:
智齿生长的位置越特殊,拔除的难度也就越高,面临的手术风险越大,相应的费用也就越高。
①拔除完全长出的上颌智齿,难度系数:★★
垂直生长的上颌智齿一般比较好拔。
像这类比较“听话”的智齿,一般来说手术时间比较短,十几分钟基本上就可以搞定。

上颌智齿垂直生长
②拔除完全长出的下颌智齿,难度系数:★★
下颌智齿根据个人不同情况,拔牙的难度也各不相同。
垂直长出的比较好拔,跟上颌智齿拔牙操作起来差不多。这两种拔牙手术的难度都不太大,
因此手术价格也不高,术后愈合也快。

下颌智齿垂直生长
③拔除斜长、横长或埋在骨头里的下颌智齿,难度系数:★★★★
其实,这些就是我们俗称的阻生牙。
这一类智齿比较难拔,基本上都是微创手术了,但也需要切开牙龈操作,手术难度还是不低的。因此价格相比前两种手术会高一些。

下颌智齿水平生长
当然,还有其他更加奇奇怪怪的pose……

各类“不听话的”下颌智齿
了解不同的拔牙情况之后,总的说来,其实就分四种(可对号入座)——
所以,像开头那种同事拔牙花了200元,你花了2000元的情况——
也是非常正常的(有被安慰到吗?)
如果不巧,长了四颗「高难度」智齿,那可真的是要(钱包)「大出血」了。

因为就算同样是拔智齿,每个人的牙齿情况也不尽相同。
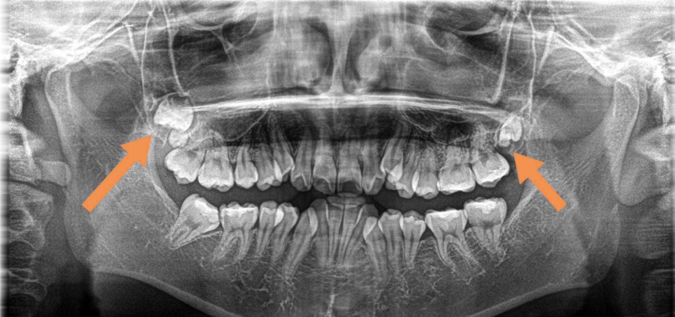
拔牙前拍X光片可以让医生看到肉眼看不到的牙根形态、生长状态。
根据X光片的结果,医生可以更全面地评估拔牙的难度,定制拔牙的方案,向患者更好地解释一些可能存在的风险。
此外,有时候X光片还能发现肉眼看不见的断在牙槽骨里的残根,在手术时可以对拔除残根更加地有把握。

(术前进行拍片,确定牙齿情况)
三、拔完智齿后要注意什么?1、拔完智齿,建议紧咬纱布半小时后再吐出。期间避免说话,以免伤口出血。
2、吐出纱布之后,避免频繁舔舐伤口,不利于止血。
3、拔牙后24小时内不要刷牙漱口。如果分泌了口水,可以咽下,尽量避免吐出。
4、拔牙后2小时再吃东西。可以吃温凉的软食或者流食;一定要避免食物过硬或者过热,注意不要用拔牙的那一侧咀嚼。
5、拔牙后一周不要剧烈运动,健身党要注意适度锻炼哦。
四、拔牙后伤口一直疼该怎么办?一般来说,拔牙后的疼痛不会很剧烈,轻微的疼痛可以通过吃冰淇淋等冷饮来缓解。(注意适量哦)
如果觉得疼痛已经影响到了你的日常生活,可以按照说明书服用止痛药。
假如吃了止痛药还是效果不明显,甚至出现了拔牙一侧头疼,那么有可能出现了干槽症,应该及时找医生进行复诊。

(面部肿胀、疼痛严重者随时复诊)
还想了解
「拔牙洗牙种牙」等
更多口腔健康小知识吗?