先从各种托槽的分类来说吧,这个是最基本的选择,也是大家最关心的美观和舒适的问题!
正畸托槽有哪些?
传统金属托槽

这就是你们说的“钢牙”啦,优点就是价格亲民,经济实用。但是金属色泽确实有碍美观,如果露齿微笑,可能只看得见一口亮闪闪的钢牙。
虽然物美,但是价廉啊,不过吃韭菜和金针菇这件事就不要想了~
陶瓷、单晶托槽

由坚固透明的生物陶瓷材料制作,呈乳白色半透明或完全透明,与牙齿色泽一致。戴在牙齿上远看仅有一条钢丝,不易被发现。而且,陶瓷托槽边缘更光滑,减少了对口腔粘膜的刺激。
呐,你们要得是好看的!一米开外看不见的那种~
自锁托槽

自锁托槽就比较6了,是近几十年来出现的一种新技术,比传统正畸方法能缩短三分之一的治疗时间,复诊时间从传统的四周推迟到八周。
自锁托槽也有金属和单晶陶瓷的分类,身边很多做固定托槽的小伙伴,大多都是选择这种自锁托槽。
简单的总结两点:时间快,复诊间隔长,没了~
舌侧隐形矫正

这种矫治器对正畸医生的技术要求贼高,它是将矫治器全部安装在舌侧面,外观上看不到任何正畸治疗装置。
但是费用昂贵,刚戴上时舒适度略差,不过戴过舌侧矫治器的小伙伴表示:“刚开始特别不适,但戴几个月就没啥感觉了!
就是技术好,就是贵,就是黑科技~
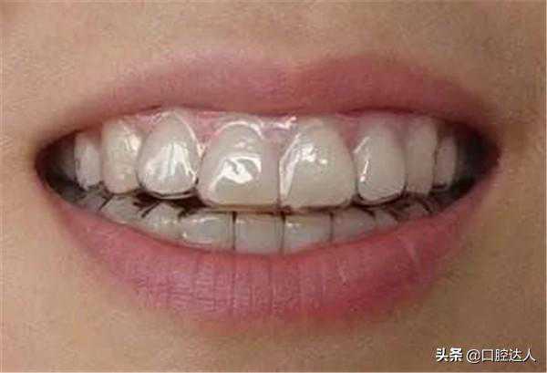
无托槽隐形矫正

想吃韭菜和金针菇的看这里!!!
隐形矫正的优点有很多啊,舒适、卫生、可摘、透明美观、精确高效,最6的是有3D矫正方案,开始正畸前就可以看到模拟结果!
追求美观者的首选,虽然比传统矫正贵,但是比舌侧矫正还是划算的!关键是别人完全不知道我在整牙啊!于是,在不知不觉中就完成了美丽蜕变。
很多妹纸就做的这种,吃东西可以把牙套摘下来,缺点就是不能摘太长时间~
还有好多人对正畸存在很大的疑问,这些常见的问题,这里都给你总结了~
在此给予总结、分析,以真正消除人们对牙齿矫正的认识误区,只有人人知晓,才是医之大成。
误区1年龄大了不能矫正
牙齿移动是生命体内都会存在的骨改建过程,因此牙齿矫正老少皆宜。但不同个体存在的问题不一样,开始矫正的时机也不尽相同。下至三四岁的孩童,上至八九十岁的老者,都有可能成为矫正的目标人群。您是否可以矫正,应从专业的正畸医师处寻求答案。
误区2牙齿矫正后会松动

牙齿本身也不可能一辈子待在原地不动,而是处于稳定与移动的平衡中。矫正就是通过外力暂时打破这个平衡,为牙齿搬家。矫正产生的骨改建带来牙齿生理性的移动,在移动过程中暂时有一定程度的松动很正常。当牙齿移动到新的位置上,自然又回归到平衡中,重新稳定下来。
误区3牙齿矫正老了会掉牙

很多人认为老掉牙是一个正常的生理现象,其实不然,健康的牙齿应伴随人终生。目前在我国,牙周炎已成为成年人牙齿缺失的首要原因,也就是说,所谓老掉牙主要是因为牙周炎导致牙齿松动脱落,而牙周炎的关键致病因素是口腔的菌斑微生物。是否罹患牙周炎与是否做过矫正无关。
误区4龅牙或牙不齐,寻求七天快速矫正
所谓的美容冠快速矫正,号称新兴美齿技术,本质还是把牙磨小后做烤瓷冠,为了美观却损害了牙齿健康。改变健康牙齿的排列,正确方案就是戴矫正器,时间一般为两年左右。牙齿的生理性移动是一个缓慢的过程,矫正必须付出时间代价,没有捷径可走。
误区5矫正只是为了美观
很多年轻人矫正,是为了改善牙齿甚至容貌的美观,但矫正的功效不仅限于此。多数中老年人寻求矫正的目的是健康和功能。整齐的牙齿更易被清洁,利于牙齿和牙周组织的健康,矫正后获得理想的咬合关系,能改善咀嚼功能。完美的矫正是健康、功能、美观和长期稳定的和谐统一。
误区6矫正一定要拔牙
这也是很多人对矫正望而却步的一个原因。拔牙是提供间隙的常用手段但非唯一的手段。除了拔牙可以创造空间,有效解决牙列拥挤和牙齿前突以外,临床上还有前后向或左右向扩展牙弓、片切(适度把牙磨窄)等很多手段。具体哪种手段更合适,必须寻求专业的正畸医师检查才能决定。
误区7拔牙矫治后会留有牙缝

牙齿矫正就是给牙齿搬家,从原有的位置移动到一个新的位置,而拔牙矫治正是需要利用拔牙产生的空间排齐牙列或回收前突的牙齿。因此只要是规范的正畸治疗,一般情况下都能让牙齿最终排列紧密,恢复正常的牙齿邻接关系,不会留有牙缝。
误区8牙齿没换完不能开始矫正
不但患者这样想,很多非正畸专业的口腔医师也这样认为。不同个体的具体问题不同,考虑到牙齿和颌骨的生长发育情况,每人开始矫正的时机会有差异,既有乳牙期、替牙期的早期矫治,也有换完牙及成年后的综合性矫治,究竟你属于哪种情况,应由专业的正畸医师判断。
误区9牙齿矫正一定很疼
对疼痛的畏惧使很多人不敢矫正,其实牙齿矫正并不可怕,矫正戴的牙箍并非紧箍咒。现今矫治技术的发展越来越倾向于轻力矫治,很多技术可以提供安全舒适的矫正,让患者感觉不到疼痛或仅有轻微不适。治疗中牙齿受力感觉酸胀和咬合无力也是暂时现象,偶尔会有黏膜溃疡产生的疼痛,一般均可耐受。
误区10矫正只能戴牙套,影响美观
矫正方法灵活多样,目前的主流技术是粘在牙齿上患者无法取下的固定矫治器即俗称的牙套,包括金属材质的钢牙套和接近牙色的美观陶瓷牙套。此外,还有放在牙齿内侧的舌侧矫治和患者可以自由摘戴的无托槽隐形矫治,对美观均不产生影响。患者可以根据自己的需求做出选择。
误区11矫治力越大,牙齿移动越快;
矫治力小,不疼,牙齿移动慢或不移动
牙齿移动是骨细胞参与改建的缓慢的生理性移动,不同于宏观世界的物理力学现象,绝非力量越大速度越快。实际上很小的力量即可启动牙齿移动,力量过大反而会移动停止或带来很多副作用。物极必反,矫正不能超越生理限度。矫正期间只要缩短复诊间隔,就诊频繁一些,就能加快进度继而缩短疗程。
误区12矫正期间只要缩短复诊间隔,就诊频繁一些,
就能加快进度继而缩短疗程呀
牙齿移动是缓慢的生理性移动,平均一个月最多移动1mm。如果因为着急频繁复诊,牙齿和牙周组织失去了休整的时间,就可能带来不可逆的不良后果。牙齿矫正不能拔苗助长,必须尊重生理规律。
误区13严重的牙周炎不能矫正
很多正畸医师对此望而生畏。严重的牙周炎常有明显的病理性牙移位或松动,但牙齿矫正同时也是在治疗牙周病,施以生物限度内的矫治力非但不会使牙周病恶化,反而会改善病情。未经治疗或控制的牙周炎不能矫正,但稳定的牙周炎可以,这是不同专业的医师共同合作才能完成的治疗,对医师是个考验。
误区14戴牙套会腐蚀牙面
在牙面上粘接矫治器,目前是采用口腔专用的釉质粘接剂,在清洁处理过的牙面上固定两年左右,治疗期间矫治器可能因外力脱落而反复粘接,治疗结束去除后也不会对牙齿表面产生影响,这是牙科里应用四十余年非常成熟的粘接技术,大可不必担心。所谓的腐蚀实际上主要是因为口腔卫生不好导致托槽周围牙面产生的釉质脱矿,口腔卫生差才是罪魁祸首,牙齿矫正不该背黑锅。
误区15牙齿矫正只能解决牙齿问题
矫正可以改变牙齿的位置,唇齿相依,继而能改变嘴唇的前后向位置,带来软组织侧貌突度的变化,此外,唇齿关系的变化还可以带来微笑美学的变化。所以,牙齿矫正不单单解决牙齿问题,时常在很大程度上带来容貌美,甚至收获意想不到类似整容的效果。
误区16牙齿矫正可以瘦脸或者改变脸型
矫正医师从事的工作是移动牙齿,尤其是前牙位置发生改变,附近的牙槽骨也发生一定程度的改建,嘴唇的前后向位置和唇齿关系也会改变,因此带来鼻子以下面部的容貌变化,而非面部宽度或其他脸型部位的变化。实事求是,要正确看待矫正医师的功劳。
误区17牙齿矫正会影响孩子的身高发育
有些家长担心矫正期间很多饮食受到禁忌,继而会影响孩子发育,但实际上牙齿矫正对饮食没有绝对的禁忌,关键是要注意方式方法。矫正是牙槽骨改建的过程,治疗结果会与上下颌骨的生长发育有关,但矫正本身不会影响儿童身高的生长。牙齿矫正历时长,经常会经历孩子的快速生长阶段,家长难免会有担心。
误区18成年人牙齿矫正容易反弹
牙齿矫正结束在一段时间后均会出现不同程度的复发,但复发与否和矫正开始的年龄无关,实际上,青春期生长发育对矫正稳定性的影响更不容忽视。复发不可避免,在临床上专业的正畸医师会通过很多种方法减轻复发的程度。
误区19只要是口腔专家
就可以做矫正
口腔医学划分为不同专业,只有研究生阶段才能系统学习正畸专业,接受规范的专业培训并在培训中不断实践,所以口腔其他专业的专家不能进行专业的牙齿矫正而必须由正畸专科医师来做,很多发达国家推行专科医师制度并立法保护,正所谓术业有专攻。
误区20很多患者喜欢和别人比较治疗方案、疼痛感受、
牙齿移动快慢、疗程甚至费用等
人人都是不同的个体,矫正应该是针对不同具体情况的个性化治疗。此外治疗反应的个体化差异,也正体现了口腔医学实践性强的学科要求,所以矫正只能针对不同个体而言,横向比较实为不妥。
牙齿矫正只能解决牙齿问题?
矫正不仅可以改变牙齿的位置,也有很大程度的面容改善,甚至收获意想不到类似整容的效果。
正畸并不是个简单的事,有意向做正畸的亲们,还是要找个靠谱的医生呀~