前不久,中国第一社会娱乐真人秀节目----1818黄金眼爆出这样一则新闻,浙江台州的郭先生的妻子,在杭州芭黎雅医疗美容诊所给丈夫打电话,说要整牙,急需用钱,而且数目巨大,郭现在一听急了,劝说妻子不要被骗,可妻子根本不听,甚至到后面电话也不接了。事后了解到,妻子在一家整形医院里做所谓的美容冠,整套下来原价要80多万,其中其中上牙前部6颗全瓷冠25万多,这部分已经做完,剩余9颗贴片17万多元和种植6颗32万多元还没进行,打完折总价要60多万。当天,妻子通过微信、支付宝和刷卡等方式,把30多万元付给了一位李女士和她名下的公司,并写下了一张30万元的欠条。

看完此新闻,我深深的吸了一口凉气,心想都被曝光了这么久的“美容冠”又出来作妖了,竟然还是家医疗美容诊所,“美容冠”的问题很早,就被曝光,那个时候很多黑心的口腔诊所虚假宣传“7天能完成牙齿矫正”,不少人在其忽悠下,做了天价的美容冠,给很多患者带来了不可逆转的伤害,类似这样的新闻在网上曾报道过多次。
我们先把“美容冠”对牙齿的伤害暂且不谈,一家医疗美容诊所,竟然可以做“美容冠”,甚至是种植牙、牙齿贴面,现在医疗美容诊所是不是只要什么赚钱就做什么啊,把患者往死里坑?种植牙、牙齿贴面这些都需要专业的口腔医生才能做的口腔项目,不是随便拖个医生都能做的,从价格方面来说,这价格比一般口腔医院的价格都贵了好几倍。
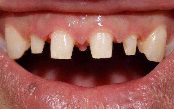
作为一个正畸医生,看过郭先生的妻子的牙后,又是一身冷汗,她的牙齿明显属于深覆合,从照片上看,郭先生的妻子的牙齿在咬合上有问题,这么做个美容冠、牙齿贴片等,只是强制解决牙齿不齐的问题,但是牙齿本身的咬合问题并没有解决,这样后续还会出现一系列口腔健康的问题。

说了这么多,我们回到正题,整篇新闻都在说“美容冠”,这“美容冠”到底是什么?对于正规的口腔医学来说,是没有“美容冠”这个说法的,这些是很早一些口腔机构杜撰出来的营销理念而已,以“7天快速矫正为噱头”我幌子,吸引那些对牙齿矫正不了解,又想快速改善牙齿颜色和把牙齿排列整齐的患者。搜索百度,现在还能搜索到“美容冠”的介绍。

百科解释说,最早源于欧美、日韩等国家,有无需拔牙、快速矫正等特点,对错位牙、畸形牙的临床冠位部分施以专业手段,最后以美容冠修复,既能美牙又无痛苦,时间短,牙齿坚固,说的冠冕堂皇,看着就有一种想去做的冲动。
对于这些简介,患可忍,医不可忍,我们就来一步步揭开“美容冠”的虚假面纱,一般口腔医生把“美容冠”比喻成“传新衣之前先挂掉一层皮”,可见这种治疗的杀伤力有多大,做“美容冠”需要把好牙的外周全部打磨掉1.5~2毫米,尤其是门牙,前后打磨1.5毫米,这样很容易暴露牙神经,导致一颗好牙,早早的凋亡。而若做出来的牙冠边缘不密合,则缝隙易滋生细菌,长期以往会引起牙龈炎,因为里面是好牙,所以也会出现龋坏。
这样的牙齿一般来说会有两个结局:一是,在咀嚼的过程中,受力过大,导致瓷层剥落,二是牙髓治疗不完善,牙根发炎产生疼痛,需要把牙冠取下,重新治疗重新做冠,也就是我们常说的“再治疗,再修复”,正规的口腔医院是不会做“美容冠”的,现在倒是大批的整形医院开始接上了“美容冠”的交接棒,
如果你真觉得自己的牙齿存在牙齿拥挤、稀疏、龅牙等问题,还是建议找正规的口腔医院进行做牙齿矫正治疗,如果觉得钢牙托槽不好看,你还可以选择隐形托槽或舌侧矫正,就算在做矫正,别人也毫无察觉,做矫正治疗照样美美哒,所以说健康变美才是王道,希望大家切勿因图一时之美,而掉进了“美容冠”的陷阱里,害的终归是自己。