本文授权转载自好好生活事务所(ID:ymsn2019),未经授权禁止转载
你身边也许就有这样的女孩
看腰90斤,看小腿却像120斤
明明并不胖
小腿看起来却粗粗的

“瘦小腿”就像一个幽灵
但总能不断“复活”并攻击你
哪个女生的收藏夹里还没有点
“瘦腿跟练教程”在吃灰呢
甚至“这肌肉小腿真能瘦”这种话题
还会间歇性被捞上热搜

小腿为啥这么“难瘦”?
真有那种无痛轻松还有效的瘦小腿方法吗?
“瘦腿操”能瘦小腿?
随手一搜“瘦小腿”,十个帖子里恨不得有七个都打着“x个动作,让你躺着也能瘦小腿”“小腿粗最怕的x个动作”“韩国/日本爆火的懒人瘦脚踝/瘦腿操”“坐着不动就能高效瘦腿”的噱头。
要说瘦小腿界最大的迷惑行为,不是这些“懒人瘦腿操”,而是你居然相信只要练了这些就能让小腿变得跟博主一样细长。
仔细看看这类教程教的练习动作:不论叫法怎么花里胡哨,除了一些拉伸、按摩,其他多数都是“仰卧倒蹬自行车”“剪刀腿”“侧卧抬腿”“坐姿提踵”这样简化版的局部力量训练。

▲针对性力量训练加上局部拉伸,构成了多数瘦腿教程的主要动作
最主要的问题不是动作本身,而出在它们总在给你营造一种错误的观念:练哪就能瘦哪。
为什么一胖起来有些部位的肉总是“膨胀”得那么积极,但想把某个地方练瘦却轻易实现不了呢?
这是由脂肪代谢的特点决定的。
脂肪是人体最主要的储能形式,在供能时的占比却不如糖。当体内的糖不足以提供能量时,脂肪会被分解成甘油和脂肪酸,在细胞内氧化释放能量。
脂肪的代谢,受内分泌的调节,以甲状腺激素、皮质醇、胰岛素为最重要的几种激素[1]。而这些人体内的激素是随着血液输送到各部位的,它们会在全身发挥作用,不可能向导弹一样定向作用于某一部分的脂肪。
很多研究都指明,“练哪受哪”的思路不太靠谱。比如,2013年,科学家让7名男性和4名女性进行了为期12周的单腿力量训练,为了检验力量训练是否能让训练部位针对性的减脂。
结果发现,被试者“瘦”得最明显的并不是训练的那只腿,而是上肢和躯干部位——他们得出的结论是,力量训练有助于全身减脂,但并不能实现“练哪瘦哪”。

▲只练瘦腿操不足以真的明显瘦腿,同理,要甩掉小肚腩也不能只练腹
你看,脂肪这家伙就是这么狡猾:它们可能“堆积”在某一处让你的某个部位明显发胖,但其消耗与减少却是全身的、整体的——这就让“练哪瘦哪”成了你最不应该相信的减肥方法之一。
换句话说,当你看到那些博主七天、十天就变成“女团腿”,要么是他们的训练量达到了明显的全身减脂效果,要么就是他们背着你偷偷控制饮食而变瘦了。想瘦小腿,只躺着做那几个动作肯定是不够的。
为什么小腿那么难瘦?
“小腿粗”主要有三个原因:脂肪堆积、肌肉粗大、水肿。特别是前两个问题,很多觉得自己小腿太粗的人都兼而有之。
脂肪型小腿粗
小腿部位的脂肪按其存在的具体位置可以分为皮下脂肪和肌间脂肪。
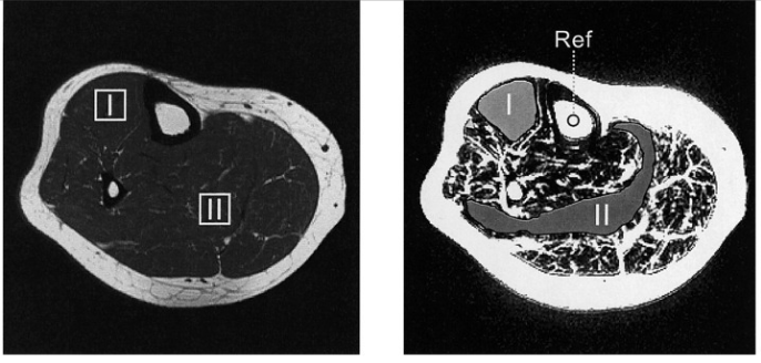
直接看图。这是人小腿的横截面图,画面里白色的纹路都是小腿中的脂质。

▲人小腿的比目鱼肌和胫骨前肌的典型区域的MRI扫描结果图,其中白色为脂质
最外圈那一层厚厚的像围墙一样的是就皮下脂肪。你可以试着做绷脚尖的动作,然后用手指去捏一捏你小腿肚最粗的地方:这时能被你捏起来的软软一层,就是它了。又或者,可以去看看超市里的五花肉:肉皮跟瘦肉之间,就是皮下脂肪所在的位置了。
而小腿中的肌间脂肪分布在肌肉组织内部和周围,你可以形象地把它们理解为“牛排上的雪花”。
图中还可以看到,对于小腿来说,肌间脂肪通常明显少于皮下脂肪——这其实对于“瘦小腿”来说并不是个好消息,因为即使你努力锻炼,最先分解自己给你供能的也是肌间脂肪,而不是那厚厚一层皮下脂肪[3]。
比起肌间脂肪,它不仅更难分解,还很影响肢体外观,这可能是造成你小腿难瘦下来的原因之一。

▲捏捏小腿,大多数“粗腿星人”都能捏起来软软的一层脂肪
并且,脂肪的堆积几乎是我们日常无法避免的事:不只是久坐,哪怕是躺着、斜靠、站一会,任何低能量消耗(小于1.5梅脱)的非睡眠行为都会使体脂更容易增加,不论你的姿势到底是什么。
可见,脂肪真的是拦在你瘦腿路上的第一大难关。
肌肉型小腿粗
肌肉对小腿外形当然有影响。这就得看看人小腿的解剖结构:

▲人小腿肌前群解剖结构图

▲人小腿肌后群解剖结构图
对照一下你自己的小腿,你会发现其实最会让你的小腿显粗的是腓肠肌(放松时特别是外侧头)的体积和形态,以及跟腱的长短——腓肠肌位置浅、体积大,若其膨出明显、形状不匀称,而且你的跟腱也不长的话,就很容易让小腿看起来“又粗又短”。
然而,不幸的是,小腿长度、跟腱的长短以及腓肠肌的生长特点,主要的决定因素是基因表达。这也很可能解释了为什么同样是腿,小腿比大腿要更难瘦。
不过,运动方式和强度等后天因素也能改变小腿肌肉形态,比如像芭蕾舞者的小腿,能呈现那么笔直且肌肉发达、线条鲜明的形态,就是反复训练的结果。

▲人小腿肌后群解剖结构图芭蕾舞者是小腿肌肉最发达的一群人,但常年训练和很低的体脂率让他们的体型依然匀称好看
水肿型小腿粗
水肿是种症状,其本质就是在人体组织间隙中有过多体液潴留,而导致肿胀。由于重力,腿部是较易发生水肿的部位之一。
对于小腿,你能判断自己是否存在影响了体型的水肿的主要办法:
第一,按压回弹法。如果你按压自己的小腿,发现皮肤并不能很快回弹而是形成了凹陷,则该部位很可能发生水肿。
第二,观察腿围变化。如果你早晨和晚上量出的腿围能相差2cm或以上,则可能有水肿。
如果你发现自己小腿水肿,那可能是你吃得太咸,纳摄入量超标了。这与人体内的“水钠平衡”机制有关。
当然,少吃盐能减轻水肿的前提是你身体比较健康。如果小腿有长期和严重的水肿,就得先去检查下有没有代谢、心血管等方面的疾病了。
如何瘦小腿?
那么,有什么办法真能让你的小腿科学变瘦吗?答案还是有的。
针对上面提到的几大小腿粗原因,除了减轻水肿以外,首先有效的一个办法就是:减脂。
很不幸,虽然减脂从来都是一项既要加强运动又要控制饮食的“苦功夫”,但只要体脂率低下来,你不但小腿能瘦,大腿、腰腹……整个身形都能纤长有致。
除了改变脂肪这个因素,所谓的“肌肉腿”也是能一定程度改善的。其方法主要就是两项:拉伸放松,以及锻炼其他那些“不显粗”的肌肉。而以上两项也几乎是网上你见到的所有“瘦腿操”的基本原理。
那么,为什么拉伸小腿、对肌肉进行按摩放松是有用的呢?因为人的肌肉就像一个梭形,收缩发力时肌腹(可以理解为“小腿肚”)隆起,截面积就要比舒张时变大。
显然,如果你一直处于一个小腿肚紧绷的状态,当然会让你的小腿肌肉显得格外粗大。

▲对比不同受力状态时两只小腿肌肉不一样的外观
这也就是为什么不建议你常年穿高跟鞋走路:你的小腿会被迫处于一直非常紧张的状态,久而久之,肌肉就僵硬且膨大了。
同时,拉伸还可能限制肌肉中的横桥链接(粗细肌丝之间由于神经信号刺激而搭成的"桥",帮助完成肌肉收缩)。而这被一些研究人员猜测能抑制肌肉的膨起(当然,同时也可能限制肌肉的力量)。
▲高跟鞋显腿长一时爽,但常年穿着能让小腿变粗
另外,跟很多人“常识”不同的地方在于,要想减轻"肌肉腿",必须锻炼和加强另外一些肌肉。
决定小腿肌肉线条的,不仅有小腿肚隆起的那块肌肉——“腓肠肌”。你可以回看前文的结构图,就会看到小腿后群的另一组主要肌肉,比目鱼肌。
而比目鱼肌在小腿的深层,看起来是位于两侧的、较细长紧致的两条肌肉,不像腓肠肌一样“中间一大坨”。它与腓肠肌能一定程度的相互代偿,锻炼它最有效的办法是提踵训练。
对于那些由于比目鱼肌过弱、发力过少而腓肠肌发力过多的人,若比目鱼肌更发达些,就能综合改善小腿的整体外形。
▲跑者大多拥有紧致的小腿肌肉,运动后及时充分拉伸有助于让肌肉线条匀称
不过,比目鱼肌无法孤立训练,因为紧贴着腓肠肌外侧和内侧头。当你在有意识锻炼比目鱼肌时,腓肠肌也不可避免会被练到。所以,坐姿提踵这类练习动作,虽理论上可以改善腿型,但也不能保证练细你的腿(甚至不排除可能越练越粗)。
此外,每个健身教练都会告诉你,要想瘦小腿,先练臀部和大腿。
原因在于大腿与小腿、臀部与腿部也有一定代偿效应。练好这些部位,不仅能让你拥有翘臀和紧致的大腿,还能帮助分担小腿肌肉的压力、减轻所谓的”肌肉腿“。
▲众所周知,练强臀部和大腿而非一味追求减弱小腿肌肉,能有效解决腿粗焦虑,让你拥有更健美的身材
然而,还是要遗憾地告诉你:以上这些办法,因人而异,还很可能收效甚微。
为了“逆天改命”,很多爱美的人会求助医美手段。不过,局部抽脂、注射肉毒素、乃至切除小腿个别肌肉束,也不可能达到像p图那样"秒变筷子腿"的效果。同时还会伴有轻微肌无力、皮肤凹凸不平、色素沉积等手术可能带来的副作用。
比起这些为了甩掉粗壮小腿“走火入魔”的爱美人士,他们最紧要的可能是心态上的调整。
▲医生正对患者的小腿进行抽脂手术
想拥有健康匀称的身材
当然还是要坚持锻炼
以及保持良好的生活作息和饮食习惯
不要让身材焦虑泯灭你的信心
快快起来运动吧~
参考文献:
[1]肖中举,杜友爱.(2018).生理学(第四版).人民卫生出版社.第七章第一节.
[2]Ramírez-Campillo,Rodrigo;Andrade,DavidC.;Campos-Jara,Christian;Henríquez-Olguín,Carlos;Alvarez-Lepín,Cristian;Izquierdo,:August2013-Volume27-Issue8-p2219-2224
[3]TimmermansR,SarisW,vanLoonL(2006)."[Insulinresistance:theroleofintramusculartriglycerideandtheimportanceofphysicalactivity]".NedTijdschrGeneeskd150(3):122–7.
[4]能量代谢当量,即一般成人休息时的能量代谢速率,3.5毫升/公斤/分钟称为一个MET
[5]Panahi,S.,Tremblay,A.(2018).Sedentarinessandhealth:issedentarybehaviormorethanjustphysicalinactivity?.Frontiersinpublichealth,6,258.
[6]刘思伊李翰君.(2017).四周跑步训练对女性大学生小腿围度及体成分指标的影响..(eds.)第十九届全国运动生物力学学术交流大会论文摘要汇编().
[8]Chen,,Tseng,,Yang,,Chen,,Lin,,Chen,,Wong,(2020).Calfcircumferenceasanoptimalchoiceoffourscreening,15,2415.
[7]V.,Santos,,Malaquias,,Bachion,,Silveira,(2018).Calfcircumference:,71,322-328.
[9]默沙东诊疗手册.水肿.
[10]徐建华程丽平.(2010).拉伸训练对力量表现的效应和机制的研究进展.中国体育科技(02),76-81.doi:10.16470/
[11]马军,骆降喜.(2014).人体解剖学.湖北科学技术出版社.第二章
[12]KerenBismuth,FrédéricRelaix,Geneticregulationofskeletalmuscledevelopment,
ExperimentalCellResearch,Volume316,Issue18,2010,Pages3081-3086,ISSN00144827.
[13]Taylor,,Jackson,,Narisu,N.,Hemani,G.,Erdos,,Chines,,Collins,(2019).Integrativeanalysisofgeneexpression,DNAmethylation,physiologicaltraits,,116(22),10883-10888.
[14]张效恩,张少白,孙笠,徐宏兆,曹淑娟陈烈.(2010).临床三种瘦小腿术的方法及效果比较..(eds.)中华医学会医学美学与美容学分会20周年庆典暨第三届两岸四地美容医学学术论坛论文汇编()..
校对:陶铮
审校:余治国